치아 신경치료란?
외상 또는 충치로 인해 치아의 치수(신경)가 손상되었거나 염증이 생기게되면 통증이 느껴지게 되요. 문제가 생긴 신경을 방치하게 되면 일상생활에 지장이 있을 정도로 통증이 심해지며 염증이 점점 커지기 때문에 손상되었거나 염증이 생긴 치수를 제거하는 것이 치아 신경치료이에요.

신경치료 후 보철치료를 통해 약해진 치아를 보존하는 치료까지가 치아 신경치료가 마무리 되었다라고 볼 수 있어요. 이유는 치수의 역할이 중단되어 치아가 약한 상태가 되고 쉽게 부러지거나 쪼개질 수 있기 때문이에요. 치수는 우리 치아에 영양과 수분을 공급해주는 역할을 하는데요, 이러한 신경조직을 전부 제거하게 되면 치아는 더이상 영양과 수분을 공급받을 수 없는 상태가 되고 시간이 지날수록 마른 나뭇가지처럼 약한 상태로 변하게 되요. 약해진 치아를 오래 사용하려면 크라운을 씌워 치아를 보호해 줘야 하기 때문에 신경치료 후 크라운은 반드시 필요한 치료 과정이에요.

여기까지가 우리가 알고 있는 치아 신경치료 및 보철치료 과정이에요. 하지만, 치아 신경치료 후 통증이 생기게 되면 '신경치료가 잘못된 건 아닐까?', '무슨 문제가 있는 건 아닐까?' 걱정이 생기게 되요.
대부분 신경치료 과정을 통해 치아의 통증이 없어지지만 통증이 생기는 경우 증상별 치료방법이 달라집니다. 신경치료 후 통증이 생기는 시기는 정해진 것은 아니며, 한달 ~ 몇년 후 통증이 나타나기도 하는등 통증이 나타나는 시기와 증상도 다양해요.
치아 신경치료 과정 및 기간
발수 > 근관확대 > 근관세척 > 가압근충 과정으로 마무리되는 신경치료!
아프지만 빨리 해야하죠..신경치료

1. 발수 : 충치 제거 후 치아의 씹는 부분을 뚫어 염증이 생긴 신경조직을 제거하는 과정입니다.
2. 근관확대 : 근관의 신경을 깨끗하게 제거하는 과정으로 신경관의 길이를 측정하게 됩니다.
3. 근관세척 : 근관을 깨끗하게 세척해 근관을 깨끗한 상태로 만들어 주는 과정 속에서 염증 or 삼출물이 생기면 치료 기간이 길어질 수 있습니다.
4. 가압근충 : 비어있는 근관 내부를 치과재료로 채워주는 신경치료의 마지막 과정.
신경치료 기간은 통상적으로 2~4번에 걸친 치료 과정으로 3주 정도의 기간이 소요되며, 치아 상태가 좋지 않다면 치료 과정이 길어지게 되요.
치과에서 가장 많이 하는 치료 과목 중 하나인 신경치료는 복잡하게 얽힌 신경조직을 제거하는 정교한 치료 과정입니다.
치아 신경치료 후 통증 top3
1. 신경치료 마무리 후 나타나는 통증
신경치료 마무리는 신경조직이 제거되고 비어있는 신경관에 치과재료를 꽉 채워 압력으로 밀봉하는 것이에요. 이를 '가압근충'이라고 해요. 가압근충 후 2~3일 정도 일시적인 통증이 나타날 수 있으며 서서히 통증이 사라지게 되는데요, 이 과정에서 불편시 진통제를 복용하시면 도움이 되요.

2. 오랜 시간 경과 후 나타나는 통증
어느 날 갑자기 통증이 나타나기도 하고 간헐적인 통증, 잇몸 물집? 뾰루지?처럼 반복적으로 염증이 생겼다 없어졌다를 반복하다 통증이 나타나는 경우도 있어요.
1) 신경이 모두 제거되지 않은 경우
치아마다 모양이 다르고 그 안에 있는 시경은 더욱 복잡하게 얽혀 있어요. 신경관이 막혀 신경을 제거하지 못한 경우도 있고 신경치료를 하였으나 신경조직이 남아있는 경우도 있어요. 치아 상태에 따라 재 신경치료 or 치아 재식술을 통해 치아의 기능을 회복할 수 있어요.

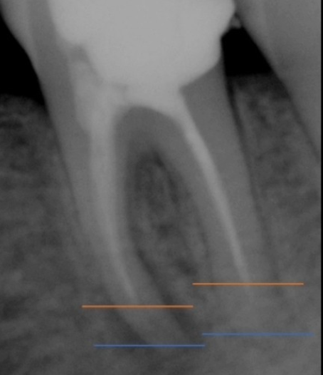
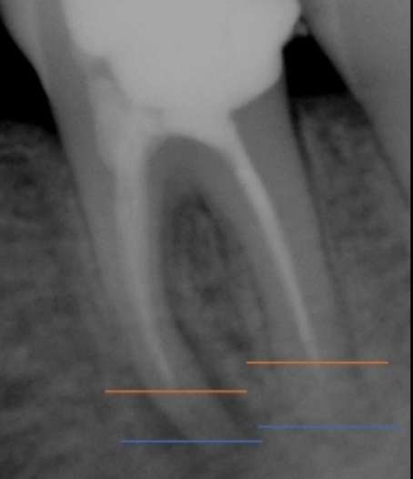
2) 뿌리 끝 염증으로 나타나는 통증
치아 신경치료 후 뿌리 끝에 염증이 생기며 통증이 나타나는 경우도 있어요. 신경치료가 잘 되었음에도 뿌리끝에 염증이 생기는 경우가 있는데요, 이는 복잡한 구조로 제거할 수 없는 근관속 염증이 뿌리끝에 모이게 되면서 잇몸이 부었다 가라앉았다를 반복하는 경우, 통증이 생기는 경우 등의 증상이 생기게 되며 치료방법으로는 치아 재식술 or 임플란트를 통해 치아의 기능을 회복하기도 해요.

3. 치아 크랙으로 인한 통증
우리 모든 치아에는 미세한 금이 조금씩 있어요. 치아에 생기는ㄴ 크랙은 지속적인 힘이 가해지거나 외상, 딱딱한 음식을 씹었을 때 순간적인 힘에 의해 생기게 되는데요, 치아에 금이 간 증상으로 통증이 느껴진다면 의료진 진단을 통해 치아 상태에 따라 크라운 > 신경치료 후 크라운 치료를 받게되요. 치아 신경치료 후 크라운을 씌운 후에도 통증이 지속된다면 결국 치아를 상실할 수도 있어요.
치아 신경치료 비용
통상적으로 앞니는 1개의 근관, 어금니는 2~4개의 근관을 가지고 있어요.
치아의 근관은 치아마다 가지고 있는 개수가 다르므로 치아 근관수, 행위료에 따라 조금의 비용 차이는 날 수 있어요.
▶ 앞니 : 25,000원
(치아근관 1개 기준입니다)
▶어금니 : 55,000원 (치아근관 3개 기준입니다)
# 치과마다 조금 차이는 있겠지만 비슷 할것입니다.

치아 신경치료 과정에서 치아 상태, 근관수가 다르므로 내원 횟수, 치료 과정이 달라질 수밖에 없습니다. 치아 신경치료 자체는 보험 적용이 되기 때문에 국민건강보험에 가입된 분이라면 누구나 보험 적용을 받아 치료받을 수 있으나 신경치료 후 약해진 치아를 보존하기 위해 반드시 필요한 보철치료는 비보험 진료로 가격 부담이 느껴지기는 하나 반드시 마무리 지어야 하는 치료 과정입니다.

오늘은 치아 신경치료 비용과 과정, 치료 기간에 대해 알아보았습니다. 의료보험 혜택으로 국가에서 정한 청구금액만 수납이 가능하기 때문에 치과에서 임의로 금액을 정할 수 없다는 점 기억해두세요