그럼 오늘은 시린이 치료법에 대해서 알아보도록 하겠습니다.
1. 시린이 치료법
2. 시린이 원인
3. 시린이 치료비용

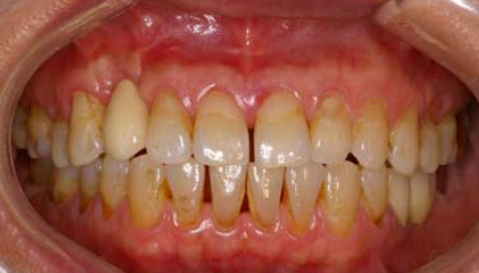
'이가 시려요' 라는 증상은 누구에게나 찾아올 수 있는 흔한 증상으로 급성으로 잇몸이 부었거나, 충치, 치아의 마모등에서 나타납니다.
오늘은 이시림 증상에서 가장 많이 찾아볼 수 있는 '치경부마모증'에 대해 알아보겠습니다.

'이가 시려요' 라는 증상은 누구에게나 찾아올 수 있는 흔한 증상으로 급성으로 잇몸이 부었거나, 충치, 치아의 마모등에서 나타납니다.
오늘은 이시림 증상에서 가장 많이 찾아볼 수 있는 '치경부마모증'에 대해 알아보겠습니다.

치경부마모증의 원인
1. 올바르지 못한 잇솔질

옆으로 닦으면서 치아를 빨리 닦기 위해 세게 닦으면서 치경부 마모가 일어나게 됩니다.
2. 딱딱하고 질긴 음식

건어물(오징어, 쥐포), 땅콩, 아몬드, 누룽지 등 질기고 딱딱한 음식을 즐겨먹는 분들에게 치경부마모증이 많이 생기게 됩니다.
3. 이를 꽉 물거나 이를 가는 습관

운동, 스트레스 등으로 이를 꽉 물거나 잠잘 때 무인식 중에 이갈이 습관이 있는 사람에게도 치경부마모증이 생기게 됩니다.
4. 잇몸질환

가벼운 잇몸 염증이 아닌 잇몸 깊은 곳까지 염증이 생긴 중증 이상의 잇몸질환을 가진 사람에게 잇몸 퇴축 현상이 일어나며 치아 뿌리가 노출되고 시림 증상이 나타납니다. 중증 이상의 잇몸질환과 3가지 습관이 합쳐진다면 치경부마모증은 더욱 빠르게 진행됩니다.
이가 시려요 : 치료방법과 비용 총정리
시린이 치료방법
1. 지각과민처치
지각과민처치는 SE-Bond라는 치과 재료로 시림 증상이 있는 곳에 매니큐어처럼 코팅한다고 생각하시면 됩니다. 치경부마모증 증상은 있으나 페인 정도가 아주 작을 때 극초기에 사용하는 재료입니다.
치료비용 : 건강보험 적용으로 약 1만 원 내외.
2. gi or 레진 치료

페인 정도가 육안으로 보이고, 시림 증상까지 동반되는 경우 gi or 레진 치료를 통해 치아가 페인 곳을 메워주는 치료방법입니다.
gi 치료비용 : 건강보험 적용으로 약 1만 원 내외.
레진 치료비용 : 비보험 재료로 4~6만 원.

3. 신경치료 + 크라운치료
레진 치료 후 시림 증상이 호전되지 않거나, 아픈 증상까지 나타나는 경우 신경치료가 필요하기도 합니다. 이는 페인 정도가 심할 때 나타나기도 하며, 예 후 관찰이 필요합니다.
신경치료 비용 : 건강보험 적용으로 치아마다
비용 차이는 있으나 대략 5만 원 내외입니다.
크라운 치료 비용 : 비보험 재료로 여러 가지
종류가 있으며 35~60만 원 내외입니다.

오늘은 '시린이 치료법'과 시린이 원인 그리고 치료 비용에 대해 알아보았습니다.
지금까지 시린이 원인, 치료법, 비용에 대하여 알아보았습니다.